Services We Offer

Our practice is committed to providing you and your family with a comfortable, happy experience. We understand that people may feel nervous or anxious, which is why our team is here to answer any questions that you might have about the services we will be performing. It is our goal to make your smile brighter, your mouth healthier, and ensure that you enjoy your time with us.

During your initial visit, we will talk to you about your dental history and take X-rays of your teeth and mouth. Once we have a solid grasp of your dental situation, the doctor will create an individual treatment plan with you and answer any questions that you may have.

The American Dental Association recommends visiting your dentist every six months for regular checkups more often if you require periodontal maintenance to keep your teeth and gums healthy.

Exams and Teeth Cleaning

At Smiles With Care, we are concerned with your total health, your smile, your mouth, your body.  Comprehensive exams are an important part of establishing and maintaining your oral health. During your first exam with us and with the use of a full series of x-rays and photos, we will:

  • Evaluation of your medical and dental histories
  • Oral Cancer Screening
  • Inspect your teeth for decay and fractures
  • Complete a thorough periodontal exam to diagnose the health of your teeth in the gums and bone

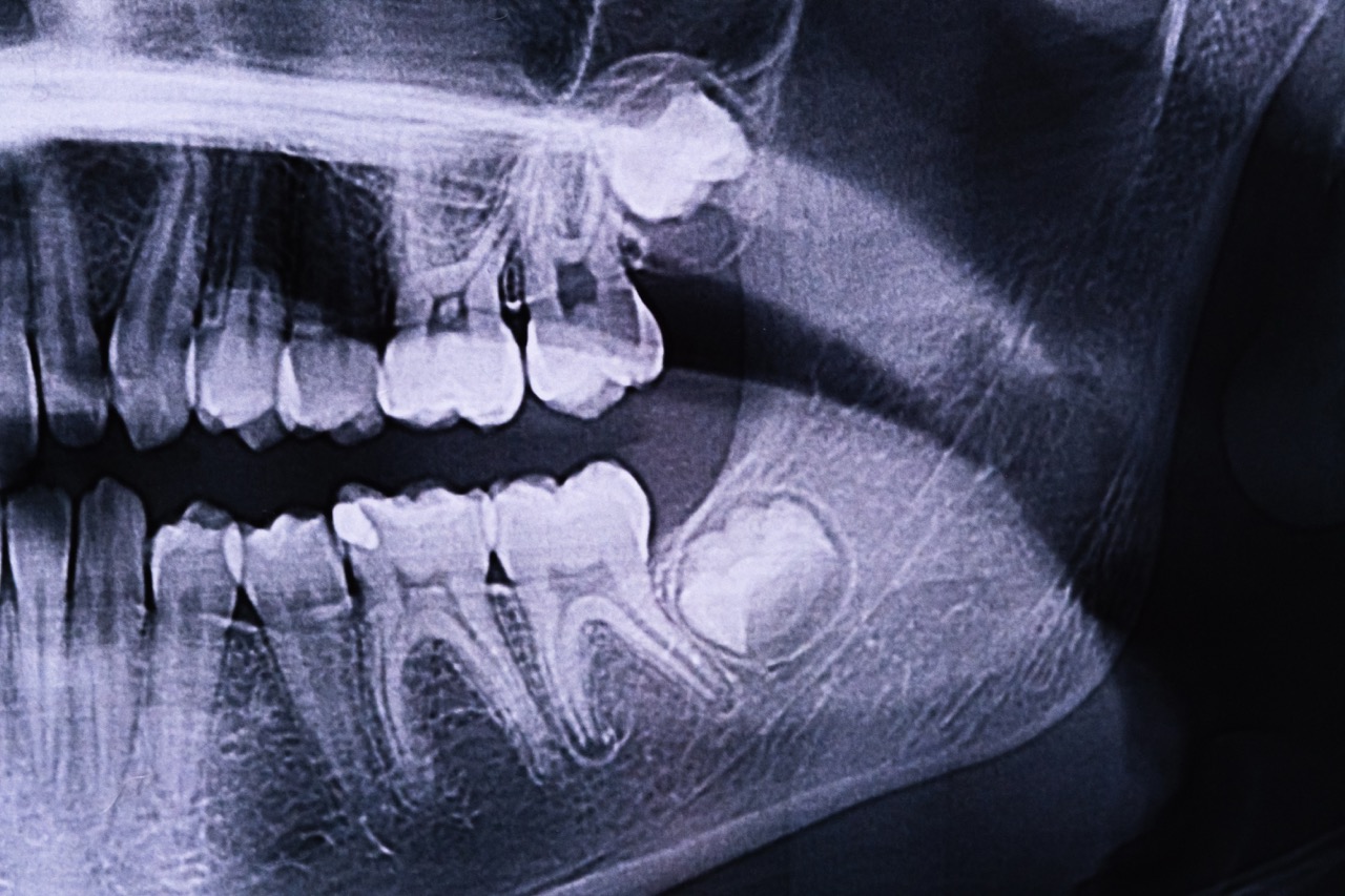
Digital X-Rays

Because our practice is dedicated to providing you with the safest and most convenient treatment options available, we utilize advanced digital X-ray technology in our office. Digital X-rays provide several advanced imaging options designed to shorten appointment times, provide clearer dental photos, and expose patients to less radiation than traditional X-ray technology. This also allows for easier communication when we refer you to a specialist, as we can easily transfer your images without loss of quality.

Panoramic X-ray of the jaw. X-ray of the teeth of a 12-year-old girl.

Periodontal Health

Did you know that the Centers for Disease Control and Prevention (CDC) has a study that estimates that 47.2 percent, or 64.7 million American adults, have mild, moderate or severe periodontitis. In adults 65 and older, prevalence rates increase to 70.1 percent!  We take this information and your health seriously.

Many studies have found that periodontal disease can affect your overall well-being from heart issues to diabetes, to even Alzheimer’s disease. This indicates that your health requires us to evaluate thoroughly and treat any periodontal disease in your mouth. We always start with the least invasive options, which are non-surgical, but some serious cases require surgical options.

Non-Surgical Treatment
The first line of defense against gum disease is called scaling and root planing. We use an ultrasonic cleaning device to remove plaque and tartar under the gum line, on the tooth, and around the root. The next step is to plane or smooth the rough surface of the tooth and the root. This provides a healthy, clean surface so that gum tissue can reattach to the tooth.

Once we have established a healthy environment in your mouth, it is important to have quarterly periodontal maintenance visits. We need to prevent the recurrence of symptoms and ensuring proper dental health. Brushing, flossing, irrigations, a healthy diet, and regular visits to the office will keep your mouth clean, your body healthy, and your smile bright.

Closeup of a scaling and polishing procedure performed by two dentists in pink gloves to a male client.

Laser Periodontal Therapy (LANAP® Protocol)

For patients dealing with gum disease, we offer the revolutionary LANAP® protocol—an advanced, minimally invasive alternative to traditional periodontal surgery. Gum disease affects more than half of U.S. adults and is linked to serious health problems like heart disease, stroke, and diabetes. Addressing it is crucial for both your oral and overall health.

The LANAP protocol is the only laser gum disease treatment with FDA clearance for True Periodontal Regeneration™, meaning it is scientifically proven to regrow the bone and tissues lost to gum disease. This procedure uses the highly specific PerioLase® MVP-7™ laser to instantly eliminate disease-causing bacteria deep within the gum pockets without harming healthy tissue.

Key benefits for our patients include:

  • A Less Painful Experience: Patients report significantly less discomfort compared to conventional surgery.
  • No Cutting or Stitches: The laser technology eliminates the need for scalpels and sutures.
  • Faster Recovery: With minimal downtime, most patients return to their daily activities immediately.
  • Preserves Your Smile: The procedure results in little to no gum recession, which is a common side effect of traditional surgery.
  • Saves Teeth: It offers hope for teeth that may have been deemed “hopeless.”
  • Safe and Effective: The LANAP protocol is a safe option for many patients, including those with health concerns like diabetes or those taking blood thinners.

This state-of-the-art treatment is an excellent option for patients with moderate to severe gum disease, especially those who are anxious about traditional surgical procedures.

LANAP Laser Non-Surgical Treatment for Gum Disease

Crowns

Sometimes the loss of tooth structure due to decay or fracture cannot be replaced by a filling. The nick name for composite resins, filling, indicates that the material is not strong enough to withstand the forces of chewing.  A crown, which covers the whole tooth structure, reinforces that tooth so that it is strong enough to survive the rigors of biting.

Dental Implant Restorations

If you are missing teeth, it is crucial to replace them. When teeth are missing, your teeth and mouth can shift and even cause your face to look older.  Without all your teeth, chewing and eating can destabilize your bite and cause you discomfort. Implants are a great way to replace your missing teeth, and if properly maintained, can last a lifetime!

An implant is a new tooth made of metal and porcelain that looks just like your natural tooth. It’s composed of three main parts: one part is the titanium implant body that takes the place of the missing root, and the remaining parts create the tooth-colored crown on top of the implant. With implant treatment, you can smile confidently knowing no one will ever suspect you have a replacement tooth.

In addition to tooth replacement, implants may be used to anchor dentures, especially lower dentures that tend to shift when you talk or chew. For patients with removable partial dentures, implants can replace missing teeth so you have a more natural-looking smile and stronger bite.

Anatomy of healthy teeth and tooth dental implant in dentura.

Dry Mouth and Its Consequences

Many, many, many medications today cause our mouths to become dry. Radiation treatments that affect the salivary glands also reduce the amount of saliva we produce.

There are many problems you may experience from needing to drink water all day to having difficulty swallowing. No matter if your mouth is slightly dry or extremely dry, the risk for cavities becomes very high. Unlike decay on the top and sides of teeth that we may have gotten when we were children, this decay happens at the root level and underneath crowns. Without prevention, teeth can just break off.

Fluoride is an important measure to prevent the loss of teeth due to decay especially when your mouth is dry. It becomes part of the tooth changing the crystalline structure to a tighter, more resistant surface.

Dry Mouth Exam

Invisalign®

Did you know that straightening your teeth not only creates beautiful smiles but in some cases aids in keeping your teeth longer?  Invisalign is one way to straighten your teeth without the metal wires and brackets. Your custom-made aligners are virtually invisible, so most people will not notice you’re wearing them.  As you wear each set of aligners, your teeth will gently and gradually shift into place. Through the process, your front teeth will smiles brighter and your back teeth will align better for a more stable bite.

Close up of woman getting dental Invisalign on her teeth at dentist's.

Opalescence Boost Teeth Whitening

Opalescence Boost professional teeth whitening is applied by our team right in the office to give you a white smile fast! No hot or uncomfortable LED teeth whitening lights are necessary because it is chemically activated. With just two or three 20-minute treatments its powerful 40% hydrogen peroxide formula provides noticeable results in as little as one hour.

Extractions

There are times when it is necessary to remove a tooth. Sometimes a baby tooth has misshapen or long roots that prevent it from falling out as it should, and the tooth must be removed to make way for the permanent tooth to erupt. At other times, a tooth may have so much decay that it puts the surrounding teeth at risk. 

Once a tooth has been removed, neighboring teeth may shift, causing problems with chewing or with your jaw joint function. To avoid these complications, we may recommend that you replace the extracted tooth with a bridge or implant.

Dentist using surgical pliers to remove a decaying tooth in clinic

Dentures and Partials

Dentures are natural-looking replacement teeth that are removable. There are two types of dentures: full and partial. Full dentures are given to patients when all of the natural teeth have been removed. Partial dentures are attached to a frame that is connected to your natural teeth and used to fill in where permanent teeth have been removed. Just like natural teeth, dentures need to be properly cared for. Use a gentle cleanser to brush your dentures, always keep them moist when they’re not in use, and be sure to keep your tongue and gums clean as well.

The dentist is holding dentures in his hands. Dental prosthesis in the hands of the doctor close-up. Front view of complete denture. Dentistry conceptual photo. Prosthetic dentistry. False teeth.

Composite Resin Fillings

Smiles With Care Dentistry only places the new white dental fillings which include ceramic and plastic compounds that mimic the appearance of natural teeth. These compounds, often called composite resins, are used on the front teeth where a natural appearance is important and can also be used on the back teeth depending on the location and extent of the tooth decay. They include glass ionomers, resin ionomers, and composite (resin) fillings.

Close-up of hands of dentist using drill on a tooth for a filling on a young woman patient

Veneers

You no longer need to hide your smile because of gaps, chips, stains, or misshapen teeth. With veneers, you can easily correct your teeth’s imperfections to help you have a more confident, beautiful smile. Veneers are natural in appearance, and they are a perfect option for patients wanting to make minor adjustments to the look and feel of their smile.

Veneers are thin, custom-made shells made from tooth-colored materials (such as porcelain), and they are designed to cover the front side of your teeth. To prepare for veneers, your doctor will create a unique model of your teeth. This model is sent to the dental technician to create your veneers. Before placing your new veneer, your doctor may need to conservatively prepare your tooth to achieve the desired aesthetic result.

When your veneers are placed, you’ll be pleased to see that they look like your natural teeth. While veneers are stain-resistant, your doctor may recommend that you avoid coffee, tea, red wine, and tobacco to maintain the beauty of your new smile.

Doctor in protective gloves trying to make a selection of veneer color

Exams and Teeth Cleaning

Dentist examines a woman's teeth

At Smiles With Care, we are concerned with your total health, your smile, your mouth, your body.  Comprehensive exams are an important part of establishing and maintaining your oral health. During your first exam with us and with the use of a full series of x-rays and photos, we will:

  • Evaluation of your medical and dental histories
  • Oral Cancer Screening
  • Inspect your teeth for decay and fractures
  • Complete a thorough periodontal exam to diagnose the health of your teeth in the gums and bone

Digital X-Rays

Bitewing X-ray of teeth

Because our practice is dedicated to providing you with the safest and most convenient treatment options available, we utilize advanced digital X-ray technology in our office. Digital X-rays provide several advanced imaging options designed to shorten appointment times, provide clearer dental photos, and expose patients to less radiation than traditional X-ray technology. This also allows for easier communication when we refer you to a specialist, as we can easily transfer your images without loss of quality.

Periodontal Health

Closeup of a scaling and polishing procedure performed by two dentists in pink gloves to a male client.

Did you know that the Centers for Disease Control and Prevention (CDC) has a study that estimates that 47.2 percent, or 64.7 million American adults, have mild, moderate or severe periodontitis. In adults 65 and older, prevalence rates increase to 70.1 percent!  We take this information and your health seriously.

Many studies have found that periodontal disease can affect your overall well-being from heart issues to diabetes, to even Alzheimer’s disease. This indicates that your health requires us to evaluate thoroughly and treat any periodontal disease in your mouth. We always start with the least invasive options, which are non-surgical, but some serious cases require surgical options.

Non-Surgical Treatment
The first line of defense against gum disease is called scaling and root planing. We use an ultrasonic cleaning device to remove plaque and tartar under the gum line, on the tooth, and around the root. The next step is to plane or smooth the rough surface of the tooth and the root. This provides a healthy, clean surface so that gum tissue can reattach to the tooth.

Once we have established a healthy environment in your mouth, it is important to have quarterly periodontal maintenance visits. We need to prevent the recurrence of symptoms and ensuring proper dental health. Brushing, flossing, irrigations, a healthy diet, and regular visits to the office will keep your mouth clean, your body healthy, and your smile bright.

Crowns

Sometimes the loss of tooth structure due to decay or fracture cannot be replaced by a filling. The nick name for composite resins, filling, indicates that the material is not strong enough to withstand the forces of chewing. A crown, which covers the whole tooth structure, reinforces that tooth so that it is strong enough to survive the rigors of biting.

Dental Implant Restorations

Anatomy of healthy teeth and tooth dental implant in dentura.

If you are missing teeth, it is crucial to replace them. When teeth are missing, your teeth and mouth can shift and even cause your face to look older.  Without all your teeth, chewing and eating can destabilize your bite and cause you discomfort. Implants are a great way to replace your missing teeth, and if properly maintained, can last a lifetime!

An implant is a new tooth made of metal and porcelain that looks just like your natural tooth. It’s composed of three main parts: one part is the titanium implant body that takes the place of the missing root, and the remaining parts create the tooth-colored crown on top of the implant. With implant treatment, you can smile confidently knowing no one will ever suspect you have a replacement tooth.

In addition to tooth replacement, implants may be used to anchor dentures, especially lower dentures that tend to shift when you talk or chew. For patients with removable partial dentures, implants can replace missing teeth so you have a more natural-looking smile and stronger bite.

Dry Mouth and Its Consequences

Dry Mouth Exam

If you are missing teeth, it is crucial to replace them. When teeth are missing, your teeth and mouth can shift and even cause your face to look older.  Without all your teeth, chewing and eating can destabilize your bite and cause you discomfort. Implants are a great way to replace your missing teeth, and if properly maintained, can last a lifetime!

An implant is a new tooth made of metal and porcelain that looks just like your natural tooth. It’s composed of three main parts: one part is the titanium implant body that takes the place of the missing root, and the remaining parts create the tooth-colored crown on top of the implant. With implant treatment, you can smile confidently knowing no one will ever suspect you have a replacement tooth.

In addition to tooth replacement, implants may be used to anchor dentures, especially lower dentures that tend to shift when you talk or chew. For patients with removable partial dentures, implants can replace missing teeth so you have a more natural-looking smile and stronger bite.

Invisalign®

Close up of woman getting dental Invisalign on her teeth at dentist's.

Did you know that straightening your teeth not only creates beautiful smiles but in some cases aids in keeping your teeth longer?  Invisalign is one way to straighten your teeth without the metal wires and brackets. Your custom-made aligners are virtually invisible, so most people will not notice you’re wearing them.  As you wear each set of aligners, your teeth will gently and gradually shift into place. Through the process, your front teeth will smiles brighter and your back teeth will align better for a more stable bite.

Opalescence Boost Teeth Whitening

Opalescence Boost professional teeth whitening is applied by our team right in the office to give you a white smile fast! No hot or uncomfortable LED teeth whitening lights are necessary because it is chemically activated. With just two or three 20-minute treatments its powerful 40% hydrogen peroxide formula provides noticeable results in as little as one hour.

Extractions

There are times when it is necessary to remove a tooth. Sometimes a baby tooth has misshapen or long roots that prevent it from falling out as it should, and the tooth must be removed to make way for the permanent tooth to erupt. At other times, a tooth may have so much decay that it puts the surrounding teeth at risk.

Once a tooth has been removed, neighboring teeth may shift, causing problems with chewing or with your jaw joint function. To avoid these complications, we may recommend that you replace the extracted tooth with a bridge or implant.

Dentures and Partials

Dentures are natural-looking replacement teeth that are removable. There are two types of dentures: full and partial. Full dentures are given to patients when all of the natural teeth have been removed. Partial dentures are attached to a frame that is connected to your natural teeth and used to fill in where permanent teeth have been removed. Just like natural teeth, dentures need to be properly cared for. Use a gentle cleanser to brush your dentures, always keep them moist when they’re not in use, and be sure to keep your tongue and gums clean as well.

Composite Resin Fillings

Close-up of hands of dentist using drill on a tooth for a filling on a young woman patient
Smiles With Care Dentistry only places the new white dental fillings which include ceramic and plastic compounds that mimic the appearance of natural teeth. These compounds, often called composite resins, are used on the front teeth where a natural appearance is important and can also be used on the back teeth depending on the location and extent of the tooth decay. They include glass ionomers, resin ionomers, and composite (resin) fillings.

Veneers

Doctor in protective gloves trying to make a selection of veneer color

You no longer need to hide your smile because of gaps, chips, stains, or misshapen teeth. With veneers, you can easily correct your teeth’s imperfections to help you have a more confident, beautiful smile. Veneers are natural in appearance, and they are a perfect option for patients wanting to make minor adjustments to the look and feel of their smile.

Veneers are thin, custom-made shells made from tooth-colored materials (such as porcelain), and they are designed to cover the front side of your teeth. To prepare for veneers, your doctor will create a unique model of your teeth. This model is sent to the dental technician to create your veneers. Before placing your new veneer, your doctor may need to conservatively prepare your tooth to achieve the desired aesthetic result.

When your veneers are placed, you’ll be pleased to see that they look like your natural teeth. While veneers are stain-resistant, your doctor may recommend that you avoid coffee, tea, red wine, and tobacco to maintain the beauty of your new smile.

smiles with care logo

Fort Myers Send an Email  (239) 463-5433

© Smiles with Care. All Rights Reserved • Web Design by Studio Haideux